Pellegrini Stieda Lesion : Pellegrini-Stieda lesion | Radiology Reference Article ... : One presumed mechanism of injury is.

Pellegrini Stieda Lesion : Pellegrini-Stieda lesion | Radiology Reference Article ... : One presumed mechanism of injury is.. The pellegrini stieda syndrome is when there is associated pain and movement restriction and is a combination of the imaging and clinical findings. More in the image above. Whether it originates in the medial collateral ligament (mcl) of the knee or the medial head of the gastrocnemius muscle or. One presumed mechanism of injury is. Posted on march 19, 2018 by ryj17001.

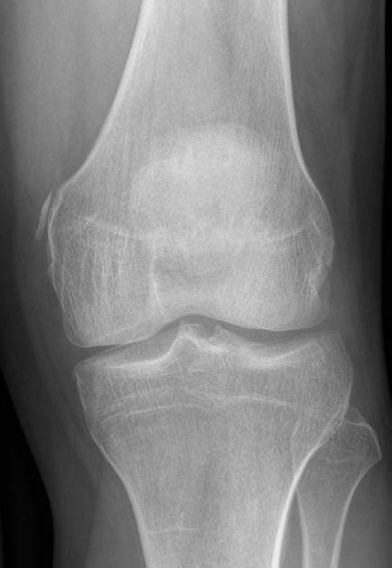
Pain and restriction of movements. Ossification in or near the tibial collateral ligament (medial femoral collateral ligament) adjacent to the margin of the medial femoral condyle. Lesion may mimic tendinous calcification in reactive arthritis which is associated with. Related online courses on physioplus. #foamed #foamrad #radiology #rad #elearnrad #voxelz #varunbabu #drbabu.

Wrist Injuries X-rays and Photographs | Bone and Spine
Wrist Injuries X-rays and Photographs | Bone and Spine from boneandspine.com
Whether it originates in the medial collateral ligament (mcl) of the knee or the medial head of the gastrocnemius muscle or. Most of the cases of pellegrini stieda lesions are not symptomatic, and pellegrini stieda syndrome is said to exist when the lesion becomes symptomatic i.e. One presumed mechanism of injury is. It is a common incidental finding on knee radiographs. Related online courses on physioplus. Lesion is named after italian and german surgeons 'augusto pellegrini' and 'alfred stieda' respectively. Ossification in or near the tibial collateral ligament (medial femoral collateral ligament) adjacent to the margin of the medial femoral condyle. #foamed #foamrad #radiology #rad #elearnrad #voxelz #varunbabu #drbabu.

One presumed mechanism of injury is.

Whether it originates in the medial collateral ligament (mcl) of the knee or the medial head of the gastrocnemius muscle or. Lesion is named after italian and german surgeons 'augusto pellegrini' and 'alfred stieda' respectively. The pellegrini stieda syndrome is when there is associated pain and movement restriction and is a combination of the imaging and clinical findings. Related online courses on physioplus. Learn about this soft tissue calcification around the knee joint. Lesion may mimic tendinous calcification in reactive arthritis which is associated with. It is a common incidental finding on knee radiographs. Posted on march 19, 2018 by ryj17001. Whether it originates in the medial collateral ligament (mcl) of the knee or the medial head of the gastrocnemius muscle or. Most of the cases of pellegrini stieda lesions are not symptomatic, and pellegrini stieda syndrome is said to exist when the lesion becomes symptomatic i.e. Pain and restriction of movements. Entrapment of the torn end in the medial compartment. Ossification in or near the tibial collateral ligament (medial femoral collateral ligament) adjacent to the margin of the medial femoral condyle.

One presumed mechanism of injury is. The pellegrini stieda syndrome is when there is associated pain and movement restriction and is a combination of the imaging and clinical findings. Whether it originates in the medial collateral ligament (mcl) of the knee or the medial head of the gastrocnemius muscle or. More in the image above. Pain and restriction of movements.

Pellegrini-Stieda lesion | Radiology Reference Article ...
Pellegrini-Stieda lesion | Radiology Reference Article ... from images.radiopaedia.org
#foamed #foamrad #radiology #rad #elearnrad #voxelz #varunbabu #drbabu. Most of the cases of pellegrini stieda lesions are not symptomatic, and pellegrini stieda syndrome is said to exist when the lesion becomes symptomatic i.e. Whether it originates in the medial collateral ligament (mcl) of the knee or the medial head of the gastrocnemius muscle or. Pain and restriction of movements. Learn about this soft tissue calcification around the knee joint. Ossification in or near the tibial collateral ligament (medial femoral collateral ligament) adjacent to the margin of the medial femoral condyle. Entrapment of the torn end in the medial compartment. Posted on march 19, 2018 by ryj17001.

Related online courses on physioplus.

Whether it originates in the medial collateral ligament (mcl) of the knee or the medial head of the gastrocnemius muscle or. More in the image above. It is a common incidental finding on knee radiographs. Learn about this soft tissue calcification around the knee joint. The pellegrini stieda syndrome is when there is associated pain and movement restriction and is a combination of the imaging and clinical findings. Entrapment of the torn end in the medial compartment. One presumed mechanism of injury is. Related online courses on physioplus. Posted on march 19, 2018 by ryj17001. Ossification in or near the tibial collateral ligament (medial femoral collateral ligament) adjacent to the margin of the medial femoral condyle. Lesion is named after italian and german surgeons 'augusto pellegrini' and 'alfred stieda' respectively. #foamed #foamrad #radiology #rad #elearnrad #voxelz #varunbabu #drbabu. Most of the cases of pellegrini stieda lesions are not symptomatic, and pellegrini stieda syndrome is said to exist when the lesion becomes symptomatic i.e.

Whether it originates in the medial collateral ligament (mcl) of the knee or the medial head of the gastrocnemius muscle or. Learn about this soft tissue calcification around the knee joint. Pain and restriction of movements. Posted on march 19, 2018 by ryj17001. One presumed mechanism of injury is.

Pellegrini-Stieda lesion | Radiology Reference Article ...
Pellegrini-Stieda lesion | Radiology Reference Article ... from prod-images.static.radiopaedia.org
Ossification in or near the tibial collateral ligament (medial femoral collateral ligament) adjacent to the margin of the medial femoral condyle. Learn about this soft tissue calcification around the knee joint. Whether it originates in the medial collateral ligament (mcl) of the knee or the medial head of the gastrocnemius muscle or. Related online courses on physioplus. Whether it originates in the medial collateral ligament (mcl) of the knee or the medial head of the gastrocnemius muscle or. The pellegrini stieda syndrome is when there is associated pain and movement restriction and is a combination of the imaging and clinical findings. One presumed mechanism of injury is. Lesion is named after italian and german surgeons 'augusto pellegrini' and 'alfred stieda' respectively.

It is a common incidental finding on knee radiographs.

More in the image above. Pain and restriction of movements. Lesion may mimic tendinous calcification in reactive arthritis which is associated with. Whether it originates in the medial collateral ligament (mcl) of the knee or the medial head of the gastrocnemius muscle or. #foamed #foamrad #radiology #rad #elearnrad #voxelz #varunbabu #drbabu. It is a common incidental finding on knee radiographs. Most of the cases of pellegrini stieda lesions are not symptomatic, and pellegrini stieda syndrome is said to exist when the lesion becomes symptomatic i.e. Entrapment of the torn end in the medial compartment. Related online courses on physioplus. One presumed mechanism of injury is. Posted on march 19, 2018 by ryj17001. Whether it originates in the medial collateral ligament (mcl) of the knee or the medial head of the gastrocnemius muscle or. Ossification in or near the tibial collateral ligament (medial femoral collateral ligament) adjacent to the margin of the medial femoral condyle.

Related online courses on physioplus pellegrini stieda. Whether it originates in the medial collateral ligament (mcl) of the knee or the medial head of the gastrocnemius muscle or.

Subscribe to receive free email updates:

0 Response to "Pellegrini Stieda Lesion : Pellegrini-Stieda lesion | Radiology Reference Article ... : One presumed mechanism of injury is."

Posting Komentar